RNA-FISH

mRNAやmiRNAの局在確認にRNAscope®を用いたISH(In situ Hybridyaztion)解析のサービスをご提案いたします。FFPEブロックからターゲット遺伝子の発現分布を病理標本上で確認することができ、コピー数の定量的な解析も可能です。

サービスの特長
- mRNAやmiRNAが検出できます
- 明視野ではDABとFast Redを使用した単染色もしくは2重染色が可能で、蛍光では3重染色が可能です
- 約20000のカタログプローブの中からターゲット遺伝子をお選びいただけます。それ以外のターゲット遺伝子の場合、合成の可否を確認の上ご提案いたします
- 特徴的なZプローブを使用したシグナル増幅とバックグラウンドシグナルの抑制により1分子のRNAの検出が可能です
- 自動免疫装置BOND RXを使用した、安定した染色が可能です
- 画像解析を行い、ターゲット遺伝子のコピー数を求めることで定量的な解析が可能です
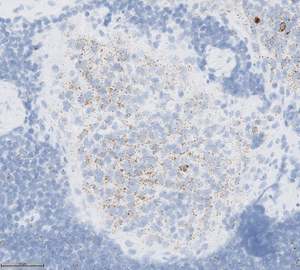
<Haloを用いた解析例>
| 解析前 | 解析後 |
![]() |
![]() |
※ ヒト扁桃組織 PPIB染色
<出力データの例>
発現量に応じた5段階でのスコアリング

【コスモバイオ社の製品紹介ページ(RNAscope®)】
https://www.cosmobio.co.jp/product/detail/rnascope-adc.asp?entry_id=9056
このようなお客様にお勧めします
- RNAレベルの発現、局在解析に
- 免疫染色ではうまく染まらず、代替法をご検討の方に
- 画像解析による定量的な解析をご検討の方に
サービス基本仕様
1. サンプル品質確認
2. 画像撮影※
3. 本染色
4. 画像撮影※
5. 画像解析※
※ 発色:Aperio(ライカマイクロシステムズ)
蛍光:共焦点イメージサイトメーターCQ1(横河電機株式会社)
受け入れサンプル
- ホルマリン固定組織
- FFPEブロック
- 培養細胞
- セルブロック
- 未染標本
※ その他サンプル性状の場合はお問い合わせください
※ サンプル準備~ご発送手順ページもご覧ください
基本納品物
- 試験報告書
- 染色標本
- 画像データ(データディスク)
- 画像解析データ(データディスク)
納期
- 試薬調達:2~4週間
- 条件検討:20営業日程度
- 染色:20営業日程度
オプションサービス
- パラフィンブロック作製
- セルブロック作製
- 未染標本作製(パラフィンブロック)
- 未染標本のパラフィンコート
- HE染色
関連するアプリケーション
申込書/注意事項のダウンロード
申込書等ダウンロードサービスページをご利用ください。
ご注文について
ご注文方法は、事前に試験仕様等のお打ち合せをさせていただいたうえで、ご案内させていただきます。まずはお気軽にお問い合わせください。
以下の情報をご提供いただけると、お見積のご案内がスムーズです。(未定の項目があっても構いません)
<ご提供いただきたい情報>
-
- ご希望のサービス名(例:mRNA-FISH)
- 生物種
- サンプル性状(ホルマリン固定組織、FFPEブロック、OCT包埋凍結組織、培養細胞、セルブロック、未染標本など)
- サンプル数
- ターゲット遺伝子名
お問い合わせ
ユーロフィンジェネティックラボ株式会社
電話番号 011-644-7342
営業時間 9時~17時(土日祝日除く)








